- ΑΡΧΙΚΗ ΣΕΛΙΔΑ
- ΥΠΗΡΕΣΙΕΣ
- Η ΚΛΙΝΙΚΗ ΜΑΣ
- ΟΙ ΟΔΟΝΤΙΑΤΡΟΙ
- ENGLISH
- ΚΛΙΝΙΚΑ ΠΕΡΙΣΤΑΤΙΚΑ
- ΕΚΠΑΙΔΕΥΤΙΚΗ ΣΥΜΜΕΤΟΧΗ
- ΑΠΟΣΤΕΙΡΩΣΗ - ΑΠΟΛΥΜΑΝΣΗ
- ΣΤΕΦΑΝΕΣ - ΓΕΦΥΡΕΣ
- ΚΙΝΗΤΕΣ ΟΔΟΝΤΟΣΤΟΙΧΙΕΣ
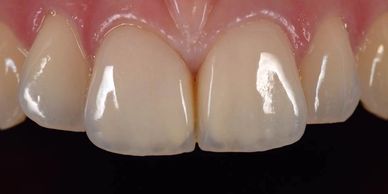
- ΟΛΟΚΕΡΑΜΙΚΕΣ ΣΤΕΦΑΝΕΣ
- ΓΕΦΥΡΕΣ ΣΕ ΕΜΦΥΤΕΥΜΑΤΑ
- ΚΙΝΗΤΗ ΣΕ ΕΜΦΥΤΕΥΜΑΤΑ
- ΛΕΥΚΑΝΣΗ
- ΨΗΦΙΑΚΗ ΟΔΟΝΤΙΑΤΡΙΚΗ
- ΟΡΘΟΠΑΝΤΟΜΟΓΡΑΦΟΣ
- ΣΥΧΝΕΣ ΕΡΩΤΗΣΕΙΣ
- THE PROS CLINIC
- SERVICES
- OUR CLINIC
- THE PROSTHODONTISTS
- CLINICAL CASES
- EDUCATIONAL ACTIVITIES
- STERILIZATION
- DENTAL TOURISM
- CROWNS - BRIDGES
- REMOVABLE DENTURES
- ALL CERAMIC
- FIXED BRIDGES ON IMPLANTS
- DENTURES ON IMPLANTS
- BLEACHING (WHITENING)
- DIGITAL DENTISTRY
- ORTHOPANTOMOGRAPH
- FREQUENT QUESTIONS









